טלפון במרפאה:

0778036247

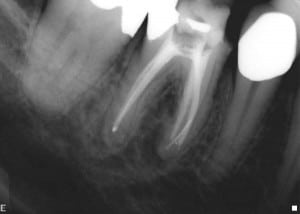
שבר פוצר הדסטרום בשן 46#.

שאלה: אולי זה לא מקובל אבל אני מרשה לעצמי לבקש את חוות דעתך על שן 46 של הגב' הצעירה (גילה  36). טיפול השרש  נעשה על ידי בכמה ישיבות עקב "הצלחתי" לשבור הדסטרום בתעלה מזיולינגואל. לא הצלחתי להוציא את החלק השבור, אך לדעתי עקפתי אותו והגעתי למלוי סביר. בתעלות הדיסטאליות המתחברות יצא מעט קצר. השן אינה סיפטומאטית כלל, עברה הורדה מגובה ונמצאת מאז במעקב סדיר עם סתימה זמנית. הייתי שמח לקבל ממך יעוץ לגבי דעתך על 46. אם אינך חושב שאתה מעוניין לתת  לי חוות דעת בלי לראות את המתרפאה, גם זה בסדר מצידי. תודה תשובה: אשמח לתת את חוות דעתי לפי הצילומים כפי שאוכל. אם ניבחן את הצילומים נוכל לראות הופעה של דלקת סב-שורשית. יש לציין מספר נקודות חשובות.
  • הפוצר נשבר בקצה התעלה ולכן לא מומלץ להוציאו. אני גם לא ממליץ לנסות ולעקוף (אלא אם כן הדבר מצליח בקלות) וזאת עקב סיכון לטרנספורטציה של התעלה כפי שניתן לראות בצילום של סיום טיפול השורש. ניתן לראות הארכת אורך העבודה אך בסטייה מציר התעלה המלא בפוצר השבור. במקרה זה היה כדאי לאטום עד המכשיר ולנסות להגיע לאפקס (שלעתים הוא משותף לשתי התעלות) דרך התעלה השנייה. המחקרים מראים שהפרוגנוזה במצב הנ"ל (ללא דלקת סב-שורשית) טובה מאד.
  • שחזור זמני מיועד בדר"כ לתקופה קצרה. הקונצנזוס היום הוא לחדש שן עם שחזור זמני מעל 3 חודשים. הסיבה היא דלף שולי. לכן הייתי ממליץ למרות שבירת הפוצר, לבצע מבנה קבוע וכתר זמני מותאם היטב. האיטום הכותרתי הוא קריטי להצלחת הטיפול. יתכן והפוצר השבור אינו הסיבה להתפתחות הדלקת אלא השחזור זמני שדלף לאורך תקופה ארוכה.
ניתן לשמר שן זו אך הדבר כרוך במספר טיפולים ובעלויות. יש לבצע חידוש טיפול שורש מבנה וכתר זמני. לאחר מכן במידה ולא יהיה ריפוי יש צורך באפיסקטומי. שני הטיפולים יחדיו נותניום להערכתי סיכויי הצלחה טובים מאד אך לא 100%. לכן חשוב ליידע את המטופל/ת ולקבל את הסכמתו/ה. במידה והמתרפא/ה אינה מעוניינת לבצע את הטיפולים הנ"ל ניתן כמובן לעקור ולבצע שתל. בהצלחה…